



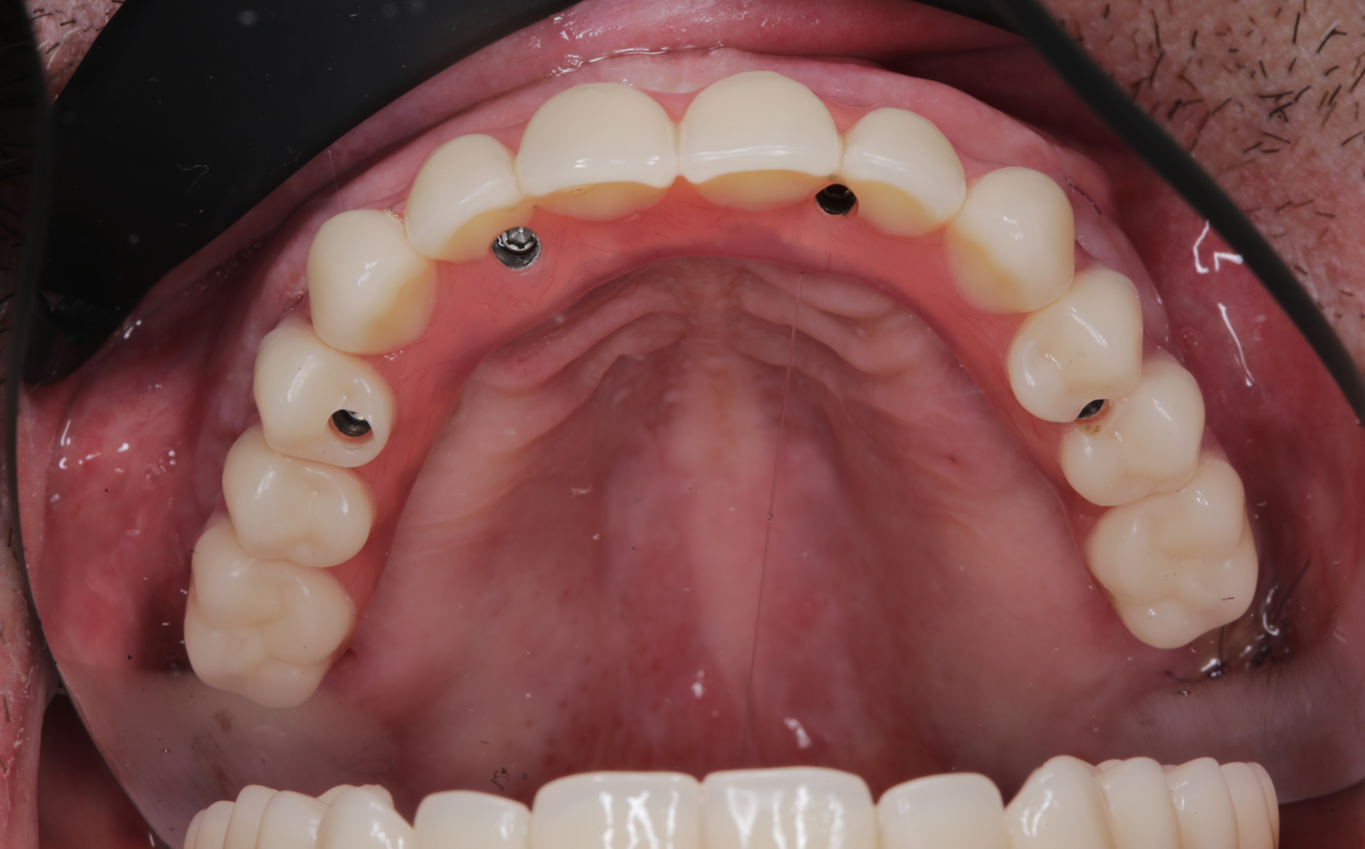
Мы регистрируем вашего пациента в 1С и фиксируем все манипуляции.
Маркируем пациента в 1С и его невозможно случайно записать к другим врачам и на другие манипуляции. Так
мы защищаем интересы наших реферальных врачей. Если доктор согласовывает дополнительную процедуру,
то только куратор рефпрактики может записать пациента
12000 рублей плюс 10% от чека на другие виды лечения
ДЛЯ ВРАЧЕЙ
команда из 4-х челюстно-лицевых хирургов и 2-х имплантологов
ДЛЯ КЛИНИК
амбулаторный ортогнатический хирург
ДЛЯ ПАЦИЕНТОВ
адаптация и лечение детей
понятный кэшбэк от плана лечения пациента
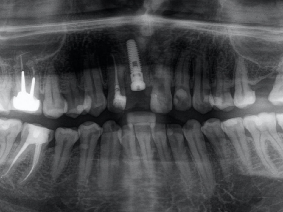
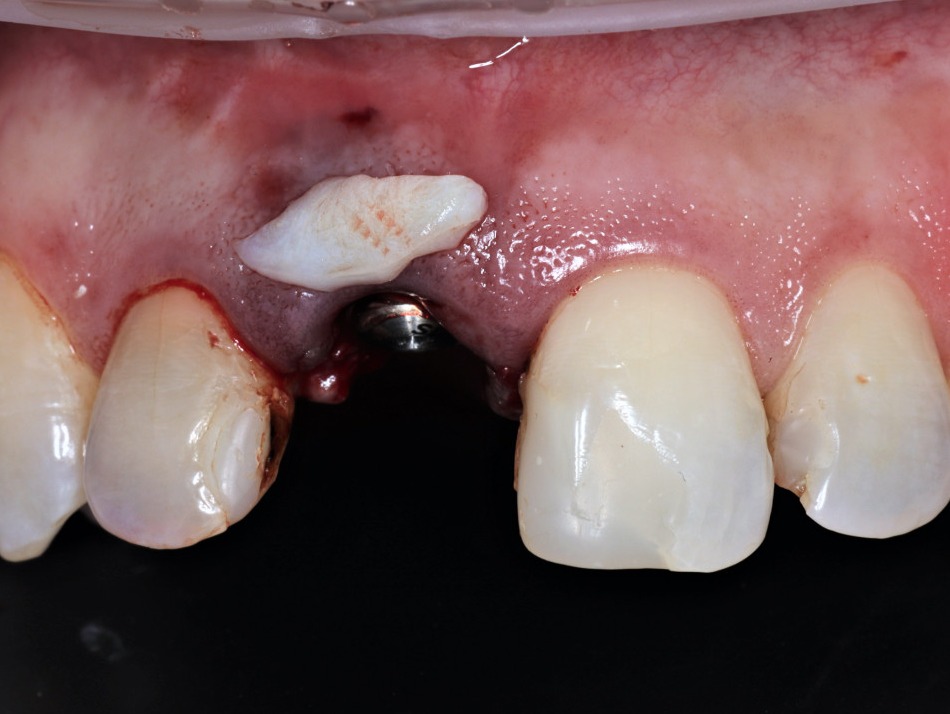
ультрасложная хирургия и любые другие манипуляции «на аутсорсе» благодаря
квалифицированная хирургическая команда
гарантии от клиники на проведенное лечение
собственные хирургические протоколы
лечение в комфортной седации под контролем анестезиолога-реаниматолога
одна из лучших операционных в России: новейшее оборудование, седация, наркоз и комната пробуждения
документы для налогового вычета
понятный прайс-лист по системе «все включено» — услуги не нужно оплачивать отдельно

основатель и главный врач клиники Refformat,
челюстно-лицевой хирург


доктор медицинских наук, заслуженный врач РФ, челюстно-лицевой хирург
Максим Хышов
стаж: 21 год
стаж: 41 год
Владимир Хышов
хирург-имплантолог


Роман Юркевич
стаж: 12 лет
анестезиолог-реаниматолог
стаж: 30 лет

хирург-имплантолог
Тимонин Юрий
ассистент врача-стоматолога хирурга
стаж: 5 года
Шейфер Владимир
стаж: 5 года
Старкова Анастасия




Мы рады партнерству с Refformat, потому что это невероятно классно и легко — быть частью содружества современных врачей, которые мыслят теми же категориями, что и мы, когда лучшие специалисты работают на благо человека.
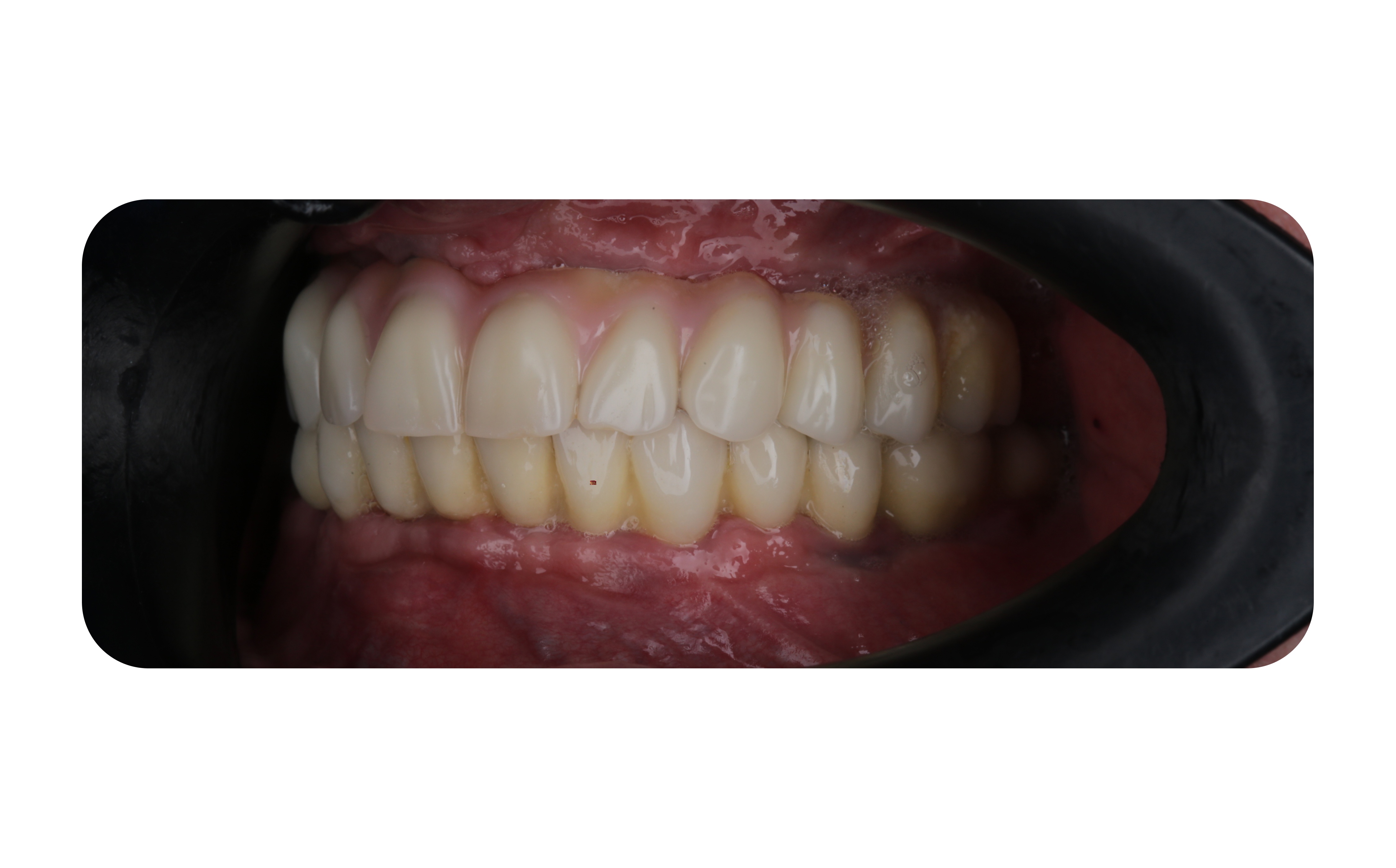
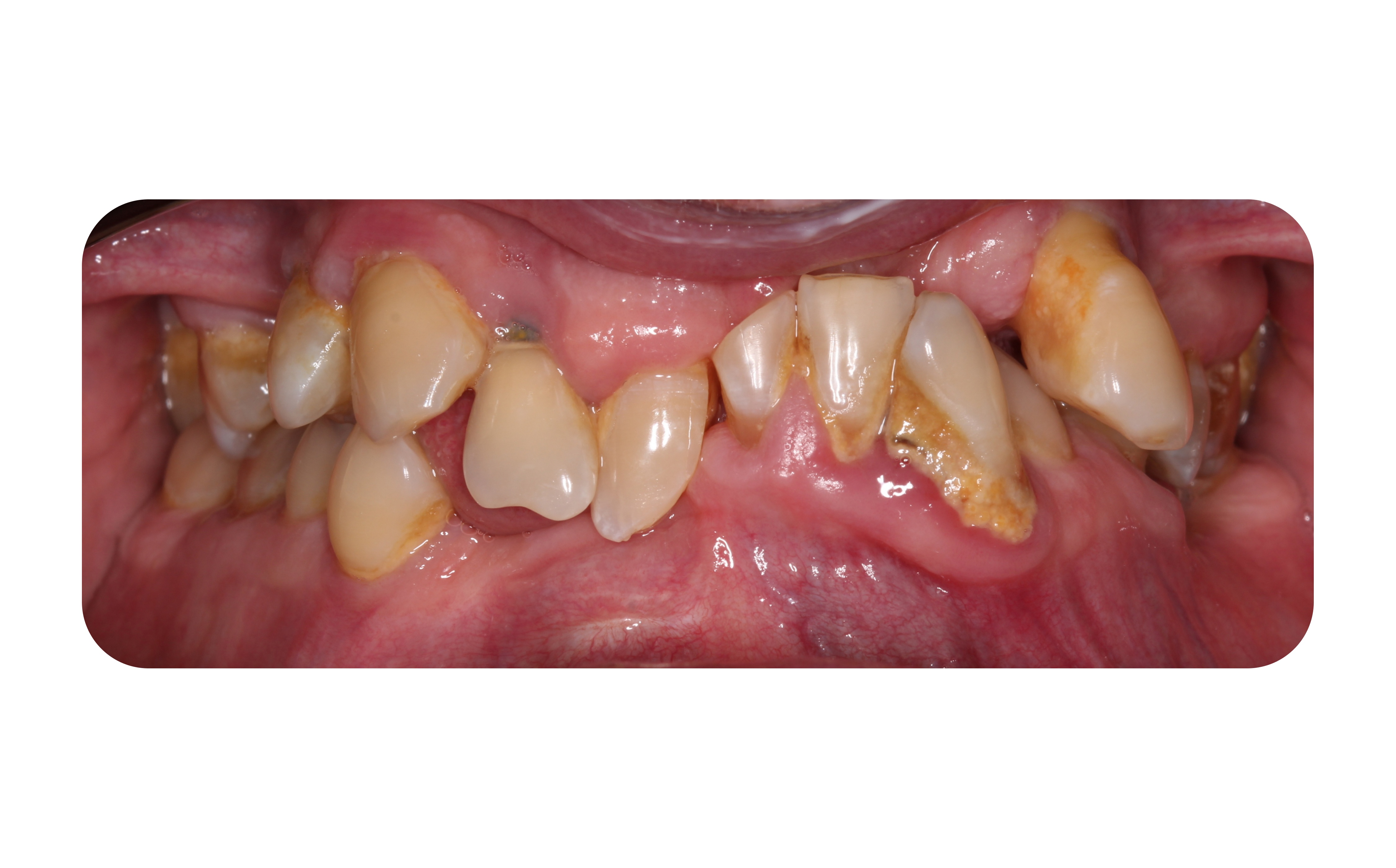
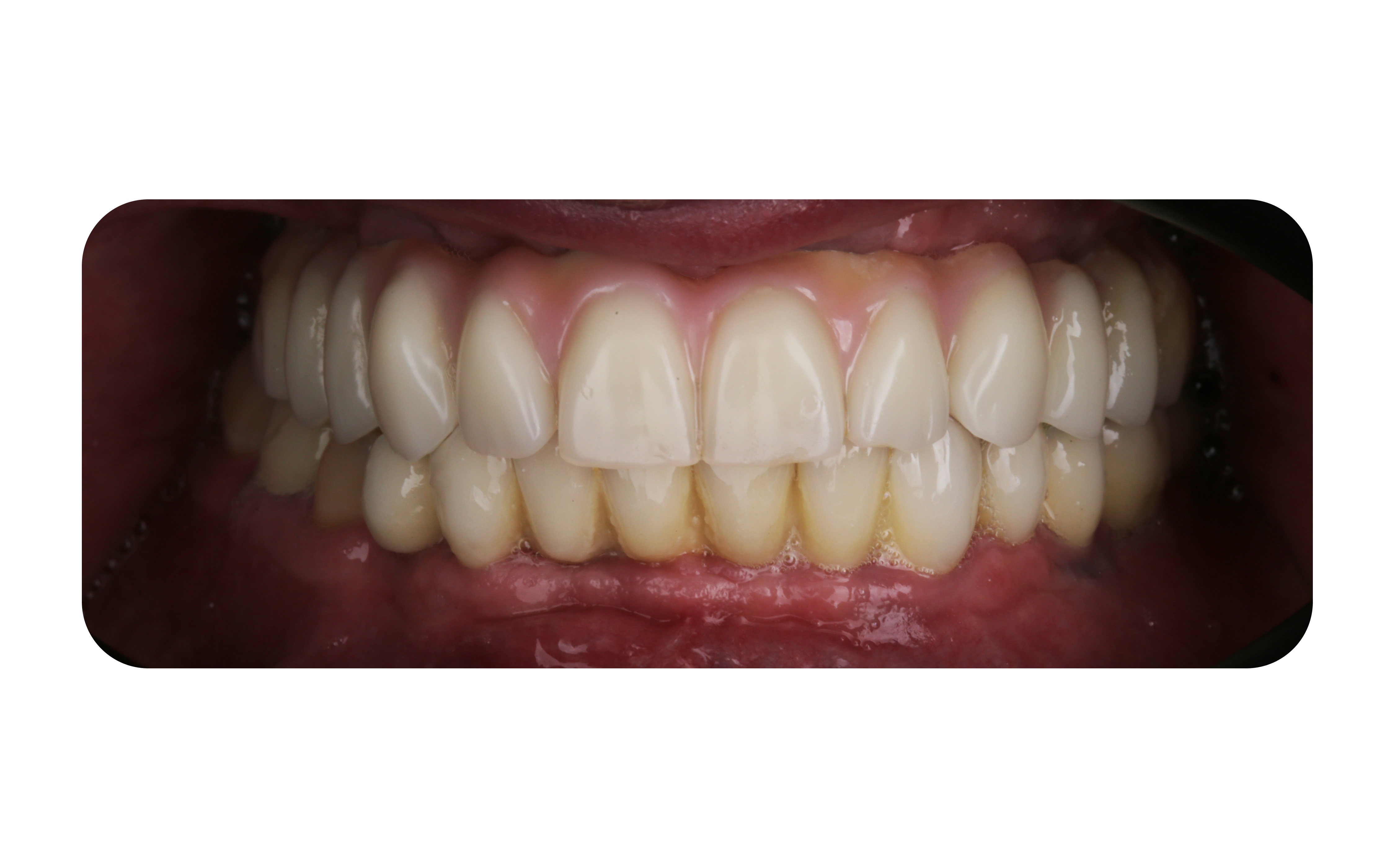
Пациенты возвращаются к нам с благодарностью — сложные хирургические манипуляции для них проходят быстро и безопасно, в спокойной и комфортной обстановке. А со своей профессиональной стороны, мы видим компетентную и слаженную работу, которая обеспечивает доверие и уверенность в нашем партнере.